PHỤC HỒI CHỨC NĂNG CHẤN THƯƠNG SỌ NÃO
I.ĐẠI CƯƠNG
Chấn thương sọ não (CTSN) là tình trạng tổn thương não do nguyên nhân chấn thương, dẫn đến những rối loạn về tri giác, nhận thức, vận động, cảm giác giác quan và ngôn ngữ.
CTSN có thể được chia thành 2 nhóm chính dựa trên sinh lý bệnh học là tổn thương nguyên phát và tổn thương thứ phát:
+ Các dạng tổn thương nguyên phát thường gặp: tụ máu ngoài màng cứng, tụ máu dưới màng cứng, xuất huyết dưới nhện, xuất huyết não thất, xuất huyết trong não, dập não, tổn thương sợi trục lan tỏa, tổn thương chất xám sâu.
+ Các dạng tổn thương thứ phát thường gặp: thoát vị não, phù não, nhồi máu não hoặc thiếu máu não sau chấn thương.
Các triệu chứng lâm sàng cũng như tình trạng khiếm khuyết, giảm khả năng gây ra bởi chấn thương sọ não là rất đa dạng. Do đó, quá trình PHCN cho bệnh nhân CTSN đòi hỏi phải toàn diện, đảm bảo đúng nguyên tắc và có sự phối hợp tốt giữa các thành viên trong nhóm điều trị. Một chương trình PHCN tốt sẽ giúp bệnh nhân sớm hồi phục, có thể lấy lại được tối đa các hoạt động chức năng và cải thiện được chất lượng cuộc sống.
II.CHẨN ĐOÁN
1.Các công việc của chẩn đoán
1.1. Hỏi bệnh
+ Lý do vào viện: tai nạn giao thông? tai nạn lao động? bị tấn công bằng hung khí?
+ Bệnh sử: thời điểm xảy ra tai nạn, cơ chế chấn thương, sơ cấp cứu ban đầu, tình trạng diễn tiến tri giác và nhận thức, tính chất các triệu chứng về vận động, chẩn đoán và điều trị trước đó, tình trạng hiện tại.
+ Tiền sử: tiền sử chấn thương hoặc các bệnh lý về thần kinh trung ương trước đây.
1.2. Khám và lượng giá chức năng
– Đánh giá tình trạng tri giác của bệnh nhân bằng thang điểm Glasgow hôn mê. Dựa vào chỉ số Glasgow để phân loại mức độ nặng CTSN: CTSN nhẹ: 13-15 điểm; CTSN vừa: 9-12 điểm; CTSN nặng: 3-8 điểm.
– Đánh giá chức năng nhận thức của bệnh nhân bằng thang điểm Rancho Los Amigos.Thang điểm này gồm có 8 mức độ, trong đó độ I là nặng nhất và độ VIII là tốt nhất.
– Đánh giá tình trạng khiếm khuyết chức năng:
+ Đánh giá sức mạnh cơ bằng phương pháp thử cơ bằng tay
+ Đánh giá trương lực cơ theo thang điểm Ashworth cải biên (MAS)
+ Đánh giá chức năng thăng bằng theo thang điểm Berg hoặc thang điểm Tinetti
+ Khám các rối loạn về điều hợp, dáng đi và các vận động vô ý thức
+ Khám 12 đôi dây thần kinh sọ não
+ Khám phát hiện các rối loạn về ngôn ngữ
+ Khám phát hiện các rối loạn nuốt: thang điểm GUSS (Gugging Swallowing Screen) hoặc MASA (???)
– Đánh giá các thương tật thứ cấp có thể xảy ra trên bệnh nhân như viêm phổi, loét do đè ép, teo cơ, cứng khớp, huyết khối tĩnh mạch sâu, …
– Sử dụng Bảng lượng giá chức năng FIM (Functional Independence Measure) để lượng giá mức độ độc lập chức năng của bệnh nhân trong các hoạt động sinh hoạt hằng ngày như hoạt động tự chăm sóc, hoạt động di chuyển, khả năng kiểm soát cơ tròn.
1.3. Chỉ định xét nghiệm cận lâm sàng
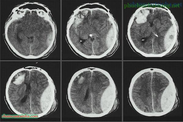
– CT-scan sọ não hoặc MRI sọ nãocho phép xác định được vị trí não bị tổn thương, loại tổn thương nguyên phát, thứ phát và mức độ nặng của tổn thương.
2.Chẩn đoán xác định
– Cơ chế tổn thương não do chấn thương
– Tình trạng rối loạn về tri giác, nhận thức, vận động, cảm giác, giác quan và ngôn ngữ.
– Xác định mức độ nặng của CTSN và mức độ độc lập chức năng thông qua các công cụ lượng giá kể trên.
– CT-scan sọ não: hình ảnh các thương tổn nguyên phát và thứ phát của não do chấn thương.
3.Chẩn đoán phân biệt
– Tai biến mạch máu não
– U não
– Viêm não – màng não
– Xơ cứng rải rác
4.Chẩn đoán nguyên nhân
– Tai nạn giao thông
– Tai nạn lao động, tai nạn sinh hoạt
– Vết thương sọ não do hung khí.
III. PHỤC HỒI CHỨCNĂNG VÀĐIỀU TRỊ
1.Nguyên tắc phục hồi chức năng và điều trị
– Ưu tiên hàng đầu là hồi sức tim phổi, kiểm soát tình trạng tăng áp lực nội sọ và ổn định tình trạng bệnh nhân. Xử trí tổn thương não nguyên phát và điều trị/dự phòng tổn thương thứ phát; đánh giá khả năng can thiệp phẫu thuật trên bệnh nhân.
– Can thiệp PHCN sớm, ngay cả trong khi bệnh nhân đang ở trong đơn vị hồi sức tích cực nhằm hạn chế tối đa những thương tật thứ cấp có thể xảy ra do bất động lâu trên giường.
– Chương trình can thiệp PHCN phải toàn diện, bao gồm cả chức năng vận động lẫn nhận thức, hành vi, ngôn ngữ, cảm giác, giác quan.
– Phối hợp chặt chẽ giữa các thành viên trong nhóm phục hồi cũng như giữa nhóm phục hồi với bệnh nhân và người nhà bệnh nhân.
2.Các phương pháp và kỹ thuật phục hồi chức năng
2.1. Chương trình PHCN cho bệnh nhân CTSN trong giai đoạn cấp
– Sau khi bệnh nhân đã được điều trị hồi sức tích cực, kiểm soát tốt tình trạng huyết động, áp lực nội sọ và các dấu hiệu sinh tồn khác, cần phải cho bệnh nhân vận động sớm. Các nghiên cứu đã chứng minh việc cho bệnh nhân vận động sớm không chỉ giúp hạn chế được các thương tật thứ cấp mà còn giúp bệnh nhân cải thiện chức năng vận động cũng như nhận thức nhanh hơn.
+ Tập vận động theo tầm vận động khớp
+ Hướng dẫn bệnh nhân tự xoay trở hoặc giúp họ thay đổi tư thế nếu tri giác còn kém.
+ Cho bệnh nhân ngồi dậy sớm, chuyển sang ghế tựa cạnh giường, tập đứng và đi càng sớm càng tốt nếu tình trạng huyết động, tri giác và chức năng vận động cho phép.
+ Hướng dẫn bệnh nhân các bài tập thở, tập ho nhằm dự phòng biến chứng về hô hấp.
2.2. Chương trình PHCN cho bệnh nhân CTSN trong giai đoạn hồi phục
– Tiếp tục duy trì chương trình dinh dưỡng, chăm sóc và dự phòng các thương tật thứ cấp.
– Duy trì mức độ vận động và sự toàn vẹn của các khớp chức năng.
– Tăng cường tiếp xúc, nói chuyện với bệnh nhân nhằm cải thiện tình trạng tri giác, nhận thức và ngôn ngữ.
– Hướng dẫn, hỗ trợ bệnh nhân thực hiện các bài tập vận động chức năng trên giường, bên cạnh giường và chức năng đi lại.
– Kiểm soát trương lực cơ, khả năng thăng bằng và điều hợp, chỉnh dáng đi.
– Cung cấp dụng cụ chỉnh hình như nẹp cổ bàn tay, nẹp AFO nhằm dự phòng hoặc điều trị biến dạng co rút chi.
– Hướng dẫn bệnh nhân sử dụng các dụng cụ trợ giúp di chuyển như xe lăn, khung tập đi, nạng, gậy,…
– Bên cạnh vận động trị liệu, cần áp dụng song song chương trình hoạt động trị liệu nhằm giúp bệnh nhân đạt được tối đa có thể mức độ độc lập chức năng trong các hoạt động sinh hoạt hằng ngày.
2.2. Chương trình PHCN cho bệnh nhân CTSN trong giai đoạn tái hòa nhập cộng đồng
Mục tiêu của PHCN trong giai đoạn này là giúp bệnh nhân đạt được mức độ độc lập chức năng tối đa khi trở về với gia đình và xã hội; phát huy vai trò, trách nhiệm của gia đình và xã hội đối với bệnh nhân; tạo điều kiện để bệnh nhân quay trở lại với nghề nghiệp cũ hoặc tiếp cận với một nghề mới phù hợp với tình trạng chức năng hiện tại.
3.Các điều trị khác
3.1. Nội khoa
– Điều trị nội khoa tích cực trong giai đoạn cấp
– Sử dụng thuốc chống co giật nếu bệnh nhân có động kinh
– Sử dụng thuốc dãn cơ đường uống hoặc tiêm tại chỗ(Botolinum toxin nhóm A hoặc nhóm B, hoặc phong bế thần kinh bằng Phenol 5%) đối với những trường hợp co cứng nhiều.
– Các thuốc an thần hoặc chống loạn thần nếu như bệnh nhân có các dấu hiệu kích động, loạn thần…
3.2. Ngoại khoa
– Can thiệp phẫu thuật sọ não nếu có chỉ định.
– Các thủ thuật can thiệp nhằm giảm tình trạng tăng áp lực nội sọ. Ví dụ: kỹ thuật đặt shunt não thất-khoang phúc mạc; kỹ thuật dẫn lưu não thất ngoài cơ thể EVD.
IV.THEO DÕI VÀ TÁI KHÁM
Trong quá trình điều trị cần theo dõi tình trạng tri giác, nhận thức, vận động và các chức năng khác một cách chặt chẽ để có thái độ xử trí và chương trình PHCN thích hợp. Sử dụng các bộ công cụ lượng giá chức năng kể trên để đánh giá chức năng của bệnh nhân trong các lần tái khám.Có thể sử dụng bảng Glasgow hậu quả (Glasgow Outcome Scale) để tiên lượng kết quả phục hồi của bệnh nhân kể từ tháng thứ 6 sau chấn thương.
Trích: Hướng dẫn chẩn đoán, điều trị của chuyên ngành Phục hồi chức năng 2014 của Bộ y tế: Số 3109/QĐ-BYT

